Working Hours Monday - Friday 08:00-16:00
Toll Free 1800.899.900

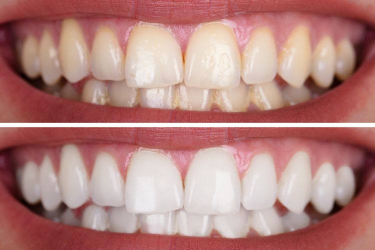
What is Teeth Whitening?

Teeth whitening is a cosmetic dental procedure designed to remove stains and discoloration from teeth, enhancing their overall appearance. It is one of the most popular and accessible ways to improve your smile, often resulting in a brighter and more youthful appearance.

Types of Teeth Whitening Treatments Available

Our office is equipped with the latest in teeth whitening technology, and our skilled dental team is trained in a variety of techniques to suit different needs and preferences.

Professional Whitening

This procedure is performed in our dental office using a high-concentration peroxide gel that is applied to the teeth. The gel is activated by a special light or laser, which enhances the whitening process. This method can dramatically whiten your teeth in about an hour, making it a quick solution for those who desire immediate results.

At-Home Whitening Kits Provided by Dentists

We provide customized at-home whitening kits, which include trays molded specifically for your teeth, paired with a professional-grade whitening gel. These kits are designed for use either for a few hours a day or overnight and can achieve significant whitening results over a period of weeks.

Over-the-Counter Whitening Kits

Available at most drugstores, these kits include stock trays, strips, or paint-on gels. While they are more accessible, they contain a lower concentration of peroxide compared to professional products and typically require a longer period to see noticeable results.

Whitening Toothpastes & Mouthwashes

These products help remove surface stains through mild abrasives and chemicals. While they are less effective at whitening than other methods, they can be useful for maintaining the results of a professional whitening treatment.

Whitening Strips

Whitening strips are thin, flexible plastic strips coated with a peroxide-based whitening gel. They are simple to use and apply directly to the front teeth. Many people choose whitening strips for their convenience and effectiveness.

Natural Remedies

Some individuals opt for natural remedies such as baking soda, hydrogen peroxide, or activated charcoal. These methods offer a DIY approach, though their results can be less predictable and sometimes abrasive, potentially damaging the enamel over time.

A bright healthy smile can be yours. Call our office today!

We’re here to ensure your family’s comfort and dental health.

the best dental office around

Schedule Your Appointment Today!

We care for our patients like relatives and close friends and hope to welcome you as a new member of our dental family.

Featured Services

Dallas Office

6500 Greenville Ave. Suite 303 Dallas, TX 75206

Office Hours:
Monday: 9:00 am - 5:00 pm
Tuesday, Wednesday: 8:00 am - 5:00 pm
Thursday: 7:00 am - 3:00 pm
Friday: Closed

On Mondays, Tuesdays, and Wednesdays, we are closed from 1:00-2:00 pm for lunch.