Looking for an alternative to braces? ClearCorrect is the clear and simple choice. No wires. No brackets. Just clear, convenient comfort - every reason to smile.
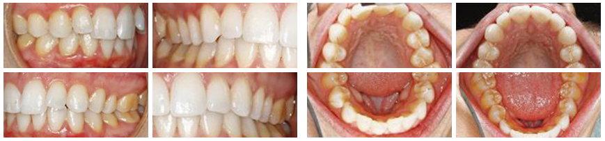
What is ClearCorrect?
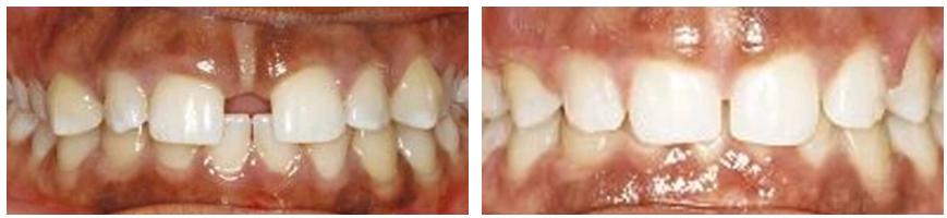
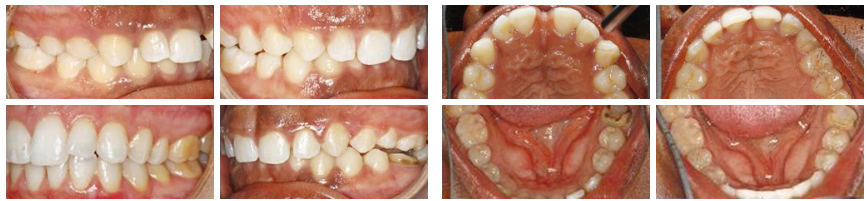
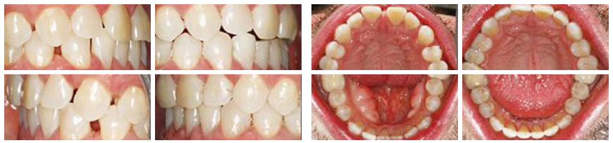
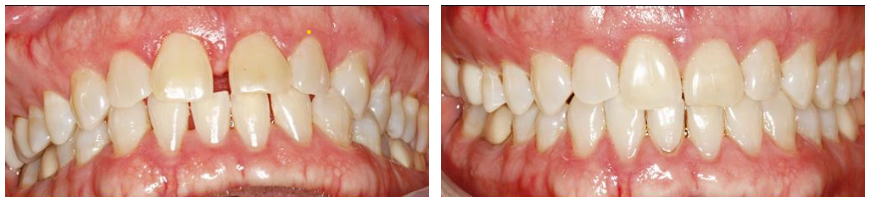
ClearCorrect is the clear and simple way to straighten your teeth without wearing braces so you can show off your smile!
With ClearCorrect, Dr. Gibbons of Northpark Dental Associates can straighten your teeth using a series of clear, custom, removable aligners. Each aligner moves your teeth just a little bit at a time until you eventually get straight teeth.
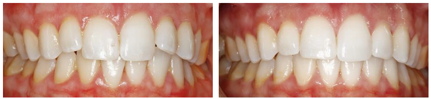
The Choice Is Clear!
With the results and convenience ClearCorrect offers and the advantages it has over other treatment options, it's an easy decision. With ClearCorrect you can get the obvious benefits and confidence you'll enjoy with straight teeth so you too can show off your smile.
We’re here to ensure your family’s comfort and dental health.
We care for our patients like relatives and close friends and hope to welcome you as a new member of our dental family.
6500 Greenville Ave. Suite 303 Dallas, TX 75206
Office Hours:
Monday: 9:00 am - 5:00 pm
Tuesday, Wednesday: 8:00 am - 5:00 pm
Thursday: 7:00 am - 3:00 pm
Friday: Closed
On Mondays, Tuesdays, and Wednesdays,
we are closed from 1:00-2:00 pm for lunch.
Schedule an appointment today for a New Patient Comprehensive Oral Exam, Full-mouth Digital X-ray Series and Consultation for $75. This is a $274 value!
For 1st time patients only. Cannot be combined with other offers. Must present Patient Pass at the time of appointment. Restrictions may apply.
Offer Expires 7/31/2025